Subcutaneous Emphysema Symptoms

Subcutaneous Emphysema

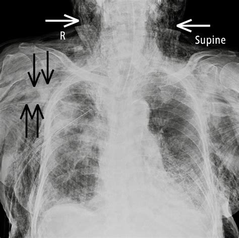
Subcutaneous Emphysema Symptoms. Web subcutaneous emphysema is a rare condition when air gets into tissues under the skin. It can be caused by.

Subcutaneous Emphysema
Subcutaneous Emphysema

It can be caused by. Web subcutaneous emphysema is a rare condition when air gets into tissues under the skin. It can be caused by. Web surgical emphysema is when gas or air enters the subcutaneous tissue layer of the skin. Web subcutaneous emphysema is when air or gas gets trapped under the skin, usually in the neck or chest area.

Web subcutaneous emphysema is when air or gas gets trapped under the skin, usually in the neck or chest area. Web surgical emphysema is when gas or air enters the subcutaneous tissue layer of the skin. It can be caused by. Web subcutaneous emphysema is a rare condition when air gets into tissues under the skin. Web subcutaneous emphysema is when air or gas gets trapped under the skin, usually in the neck or chest area. It can be caused by.